Fusion: A Failure of Science
Hear From Our Patients
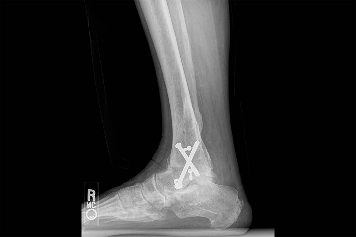
Patient Avoids Ankle Fusion and Achieves Dream CareerFusing one bone to another always means a loss of motion. It is done to relieve pain. But there is a considerable cost.

When bones in joints are broken, they sometimes heal poorly. The joint may be misaligned. The cartilage surfaces wear off, and bone-on-bone grinding occurs. Pain at these destroyed joints, especially in the ankle or foot, becomes disabling. The solution offered is often a fusion of the bones to stop the motion: the grinding cycle of pain and inflammation.
Fusion is a failure of our knowledge and skills to find a way to restore motion. When an ankle is fused, the joints below the fusion are subjected to increased loads and abnormal motion. The cartilage wears off, and the joint eventually develops arthritis. The gait of the patient after an ankle fusion is often much better than when the joint was painful, yet it is never normal. The abnormal wear patterns cause problems at the knees, hips, and back as a result of the altered gait mechanics. Artificial joint replacements for the ankle and joints of the foot are uncommon and less successful than replacements at the knee or hip due to the very small bony surfaces that must absorb the entire body’s weight with walking, running, or jumping.
Fusion is often the only choice offered to patients with severe ankle arthritis, and it is both a relief and a failure of science. The failure lies in our inability to restore motion with biologic solutions such as cartilage regeneration. In almost every case in the foot, some options for cartilage repair exist, but they are limited in their use and variable in their success.
We take a dramatically different approach. When presented with these often collapsed and completely worn-out ankle joints, we recreate the joint space, then add a cartilage paste to the exposed bone. This approach works well enough to preserve motion and return many people to varying levels of sports, but it by no means creates a normal joint. Given that the alternative is living with pain or having a fusion, the downside risk seems small.
The practice of cartilage grafting is being augmented by growth factors and stem cells. While we believe this makes a difference, the data is still preliminary, and the opportunity for novel therapies is huge. The small joints of the foot reveal large gaps in our knowledge and skills.
How to Avoid Ankle Fusion a BioAnkle
When experiencing ankle arthritis, patients are often told they need either an ankle replacement or an ankle fusion procedure. At The Stone Clinic, we've developed an alternative approach called the BioAnkle.
This surgical program biologically rebuilds the ankle joint, allowing patients to maintain the natural mechanics of their ankle and return to the activities they love—without the significant drawbacks associated with fusion or replacement procedures.